![]()
После болезни Covid-19 у жителя Рязани падает зрение. МРТ головного мозга показало причину
вторник, 19 октября, 2021 - 10:56
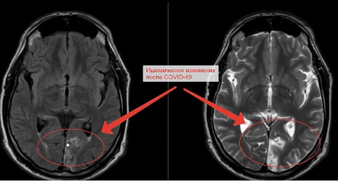
Из-за коронавируса у жителя Рязани упало зрение на один глаз. После МРТ мозга узнали, что произошло Мужчина, который проживает в Рязани, обратился в сеть диагностических медцентров «Клиника-Сити». У него начались проблемы со зрением в правом глазу. Рентгенологи одной из клиники сети сделали обследование МРТ в Рязани. Во время процедуры выяснилось, что имеются кистозно-атрофические и глиозные изменения с размерами 4,2*3 и 2*5,3 сантиметров. Локализацией служила левая затылочная часть. Врачи-эксперты медцентра «Клиника-Сити» предположили, что данная проблема могла быть спровоцирована ранее перенесенным ишемическим инсультом или инфарктом в голове, так как именно в этой части головного мозга находится «зрительная зона». В результате изучения глазных орбит и нервов никаких патологий не было обнаружено. Значит дело было в мозге. В ходе дискуссии с пациентом он рассказал врачам, что летом тяжело переболел COVID-19. Болезнь протекала крайне неудачно для него. Как многим известно, коронавирусная инфекция часто воздействует на сосуды, а также приводит к образованию тромбов в организме. Врачами было установлено после расшифровки снимков томографии, что именно коронавирус вызвал данную проблему. А после проведения диагностики МРТ головного мозга, информация была подтверждена. Сегодня магнитно-резонансная томография занимает первое место в диагностической медицине. Проведение обследований на аппарат 1,5 Тесла еще называет «золотым стандартом» в диагностике. Эта процедура наиболее высокоточная и информативная, а также абсолютно безвредна для организма. Чаще всего людям, которые перенесли инсульт назначают именно МРТ. Врачи сети «Клиника-Сити» рекомендуют следить за своим здоровьем. Своевременно обращаться в медицинские центры Рязани за помощью профессионалов. Также сообщаем, что в их центре на Первомайском проспекте, д. 27 проводятся тесты на антитела к COVID-19 и УЗИ сосудов. Вовремя обследуемое заболевание и лечение помогут избежать дальнейших последствий для вашего организма! |
СтатьиНовости 5 февраля 21:11
4 февраля 21:38
31 января 18:28
16 января 19:56
|


